Bạn có để ý thấy răng hàm trên của con, em mình nằm ở bên trong so với các răng hàm dưới. Đừng lo lắng, đây là một tình trạng lệch lạc khớp cắn rất thường gặp, và thường được gọi một cách dân dã là “móm" hoặc một cách rất chuyên môn là cắn ngược hay cắn chéo. Mặc dù có rất nhiều dạng cắn ngược, nhưng tất cả đều sẽ ảnh hưởng đến khả năng ăn nhai cũng như sự tự tin của trẻ. Hãy cùng nha khoa Dr. Duy Dentistry tìm hiểu về tình trạng này nhé.
KHỚP CẮN NGƯỢC (CROSSBITE / UNDERBITE) LÀ GÌ?
- Đối với khớp cắn đúng, cung răng hàm trên sẽ rộng hơn và nằm phía ngoài so với cung răng hàm dưới.
- Cắn ngược (hay còn gọi là cắn chéo) là tình trạng răng hàm trên nằm phía bên trong so với răng hàm dưới khi hai hàm cắn chặt lại với nhau.
- Cắn ngược có thể xảy ra ở 1 hoặc nhiều răng và có thể ở răng trước, răng sau hoặc cả hai.

Cắn ngược nhiều răng

Cắn ngược một răng
NGUYÊN NHÂN GÂY RA CẮN NGƯỢC?
Khớp cắn ngược thường là biểu hiện của các nguyên nhân sau đây:
- Do yếu tố di truyền, sự phát triển xương hàm không hài hòa.
- Sự chậm thay răng sữa.
- Sự mọc bất thường của các răng vĩnh viễn (răng người lớn).
- Tật mút tay kéo dài.
- Thói quen nuốt sai cách.
Tất cả các nguyên nhân trên khiến răng bị di chuyển ra khỏi vị trí lý tưởng, gây ảnh hưởng đến vị trí cũng như hướng phát triển xương hàm.
TẠI SAO CẦN PHẢI ĐIỀU TRỊ KHỚP CẮN NGƯỢC?
Có rất nhiều dạng cắn ngược, tuy nhiên dù ở mức độ nào, cắn ngược sẽ gây ra các vấn đề cho trẻ như:
- Gây mất tự tin khi cười, trong giao tiếp, học hành.

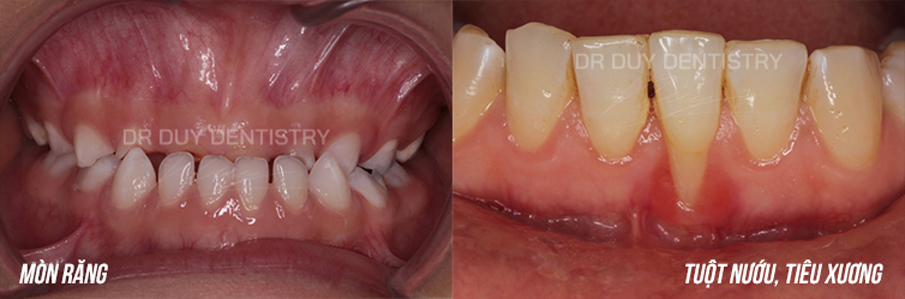
- Gây mòn răng, các bệnh lý về nướu, nha chu (tuột nướu, tiêu xương, lung lay răng).

- Loạn năng hệ thống nhai, rối loạn ở khớp thái dương hàm (tiếng kêu ở khớp, đau khớp).

- Xương hàm phát triển không cân xứng (kém phát triển xương hàm trên, lệch vị trí xương hàm dưới).

ĐIỀU TRỊ KHỚP CẮN NGƯỢC NHƯ THẾ NÀO, THỜI ĐIỂM NÀO CÓ THỂ ĐIỀU TRỊ CHO TRẺ?
- Rất may mắn là đa số các trường hợp cắn ngược đều có thể điều trị được.
- Điều trị khớp cắn ngược sẽ càng đơn giản và hiệu quả khi được phát hiện sớm. Theo hiệp hội chỉnh nha Hoa Kỳ (AAO), độ tuổi phù hợp để cho con, em chúng ta đến khám với bác sĩ chỉnh nha là trong giai đoạn từ 6-7 tuổi. Khi đó bác sĩ có thể đánh giá về sự tăng trưởng xương hàm và lên kế hoạch can thiệp sớm và toàn diện cho trẻ.
- Niềng răng là phương pháp thường được sử dụng để điều trị khớp cắn ngược. Bác sĩ có thể sử dụng thêm các khí cụ nới rộng hàm trên trong các trường hợp cụ thể như cắn ngược răng phía sau.
- Có 2 phương pháp niềng răng phổ biến nhất hiện nay là niềng răng mắc cài và niềng răng khay trong suốt.
- Mặc dù có rất nhiều phương pháp điều trị khác nhau có thể được sử dụng, việc lựa chọn phương pháp nào phù hợp nhất sẽ phụ thuộc vào vị trí, mức độ cắn ngược cũng như độ tuổi bắt đầu điều trị.

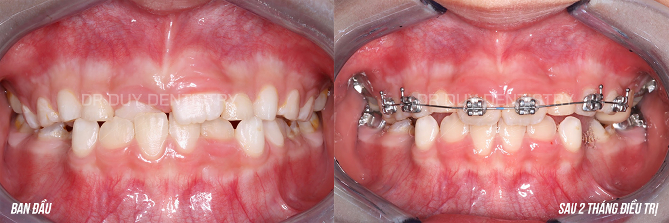
Điều trị sớm cắn ngược ở bệnh nhân 7 tuổi với phương pháp mắc cài sau 2 tháng.

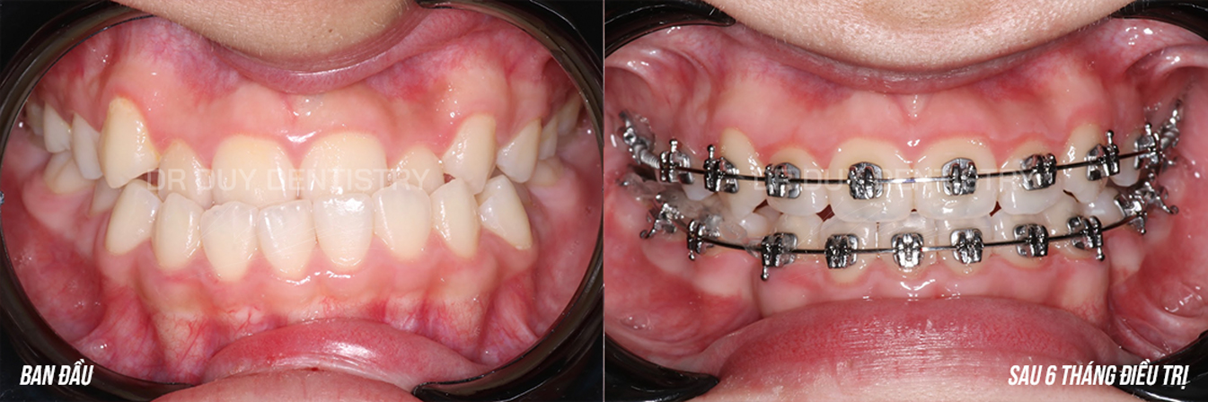
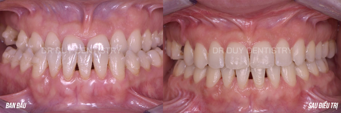
Niềng răng mắc cài điều trị cắn ngược ở người lớn sau 6 tháng.

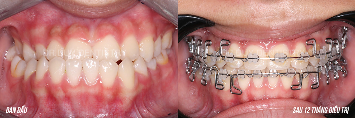
Niềng răng điều trị lệch hàm.

Niềng răng khay trong suốt điều trị cắn ngược.
Để tìm hiểu hơn về sự khác biệt giữa 2 phương pháp niềng răng mắc cài và niềng răng trong suốt, vui lòng đọc thêm tại đây