Khớp cắn sâu là gì, hôm nay chúng ta sẽ cũng tìm hiểu các dấu hiệu của khớp cắn sâu, hậu quả cũng như các phương pháp điều trị khớp cắn sâu tại nha khoa Dr. Duy Dentistry
KHỚP CẮN SÂU LÀ GÌ?
Đây là tình trạng khi cắn 2 hàm lại, các răng cửa hàm trên che phủ quá mức các răng cửa hàm dưới, trong 1 số trường hợp nặng, chúng ta không thể quan sát thấy các răng cửa hàm dưới.

NGUYÊN NHÂN CỦA KHỚP CẮN SÂU?
- Nguyên nhân thường gặp là do mọc quá mức các răng cửa hàm trên, dưới, thiếu sự mọc răng ở các răng phía sau hàm trên hoặc kết hợp tất cả các nguyên nhân trên.
- Tình trạng thiếu sự mọc răng phía sau hàm trên dẫn đến xương hàm dưới có khuynh huớng lùi ra sau nên càng làm cho người bệnh trong có vẻ hô hàm trên dù nguyên nhân chính đến từ vị trí của xương hàm dưới.
TÁC HẠI CỦA KHỚP CẮN SÂU?
- Khớp cắn sâu nếu không điều trị có thể gây ra các vấn đề không chỉ về răng mà còn gây tác hại đến khớp thái dương - hàm cũng như ảnh hưởng lên toàn bộ hệ thống nhai.
- Sâu đây là các lý do chúng ta nên điều trị khớp cắn sâu:
-
Các răng cửa mọc quá mức có khuynh hướng bị mòn đi nhanh chóng do tác động lực với các răng ở hàm đối diện. Mòn răng quá mức gây mất mô răng dẫn đến răng ê buốt theo thời gian.


-
Các răng cửa trên mọc quá mức sẽ gây ra tình trạng cười hở nướu nhiều, nếu không điều trị khớp cắn sâu thì tình trạng cười hở nướu không thể cải thiện triệt để dù có thực hiện phẫu thuật cắt nướu.

-
Trường hợp cắn sâu nặng, răng cửa hàm dưới có thể cắn chạm mô mềm khẩu cái gây chấn thương, loét và gây khó khăn trong hoạt động ăn nhai.


-
Mọc răng quá mức và nghiêng vào trong khiến cung răng bị hẹp dẫn đến tình trạng răng chen chúc (mọc lệch) trở nên càng trầm trọng.
-
Cắn sâu thường đi kèm với tình trạng xương hàm dưới bị lùi ra sau, gây áp lực lên các mô tế bào phía sau đĩa khớp, gây đau khớp, đau phía sau tai, thậm chí đau đầu, đau mỏi cổ, vai gáy.

Lùi xương hàm dưới ra sau gây tổn thương khớp thái dương hàm

ĐIỀU TRỊ KHỚP CẮN SÂU NHƯ THẾ NÀO?
Mục tiêu điều trị khớp cắn sâu sẽ phụ thuộc vào nguyên nhân gây bệnh. Trong phần lớn trường hợp, điều trị khớp cắn sâu với mong muốn đạt được các mục tiêu sau:
-
Lún các răng cửa (di chuyển các răng vào trong xương hàm)
-
Trồi (di chuyển các răng theo hướng mọc răng tự nhiên) các răng phía sau hàm trên nhằm mục đích mở khớp cắn
-
Giúp xương hàm dưới đáp ứng quay ra trước làm giảm tình trạng lùi hàm
-
Kết hợp cả 3 mục tiêu trên

Khớp cắn sâu sẽ được điều trị bằng phương pháp niềng răng. Có 2 phương pháp niềng răng phổ biến hiện nay là niềng răng mắc cài và niềng răng khay trong suốt.
Để tìm hiểu hơn về sự khác biệt giữa 2 phương pháp này vui lòng đọc thêm tại đây
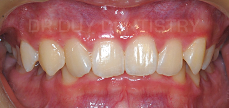
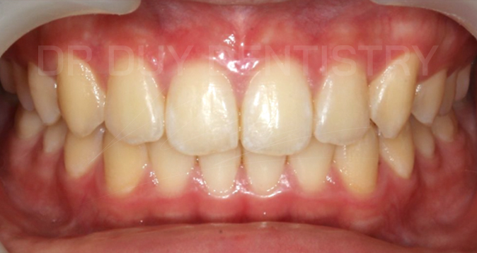
Sau đây là kết quả điều trị khớp cắn sâu với mắc cài.


Sau đây là kết quả điều trị khớp cắn sâu với khay trong suốt Invisalign
Ban đầu

Sau điều trị

Sau đây là video di chuyển răng trong điều trị cắn sâu với khay trong suốt (tiên đoán trước kết quả, số khay phải mang và thời gian điều trị)