Răng của cháu bị chen chúc, lệch lạc cần phải nong rộng cung hàm để điều trị?
Rất nhiều phụ huynh thắc mắc bác sĩ sẽ nong hàm như thế nào, nghe có vẻ đau đớn và hơi “thô bạo". Thế thì sự thật bác sĩ sẽ làm gì, và tại sao phải nong rộng cung hàm và độ tuổi nào thì việc điều trị này sẽ hiệu quả nhất? Hôm nay chúng ta hãy cùng nha khoa Dr. Duy Dentistry tìm hiểu về chủ đề này nhé.
Định nghĩa nong hàm (Arch expansion):
Nong hàm là kỹ thuật điều trị niềng răng tác động lực lên răng và cả xương hàm theo 3 chiều không gian để giúp tăng kích thước chu vi cung hàm, từ đó tạo ra thêm khoảng trống giúp di chuyển các răng về đúng vị trí ngay hàng thẳng lối.


Bác sĩ sẽ nong hàm như thế nào?
Việc điều trị nong hàm cũng sẽ tương tự như các di chuyển răng khác khi niềng răng. Bác sĩ sẽ di chuyển nong rộng răng và xương hàm một cách từ từ và đặc biệt với lực nhẹ, sinh lý để đảm bảo đáp ứng di chuyển răng tối ưu và không gây ra các tác dụng phụ không mong muốn.
Về phương pháp, bác sĩ sẽ sử dụng các phương pháp như mắc cài, dây cung, khí cụ nong rộng cố định hoặc với khay niềng răng trong suốt.
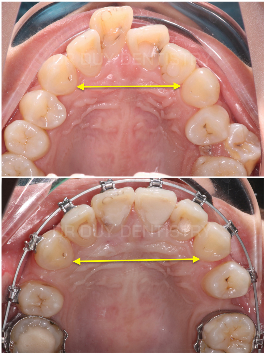
Nong hàm với phương pháp niềng răng mắc cài:

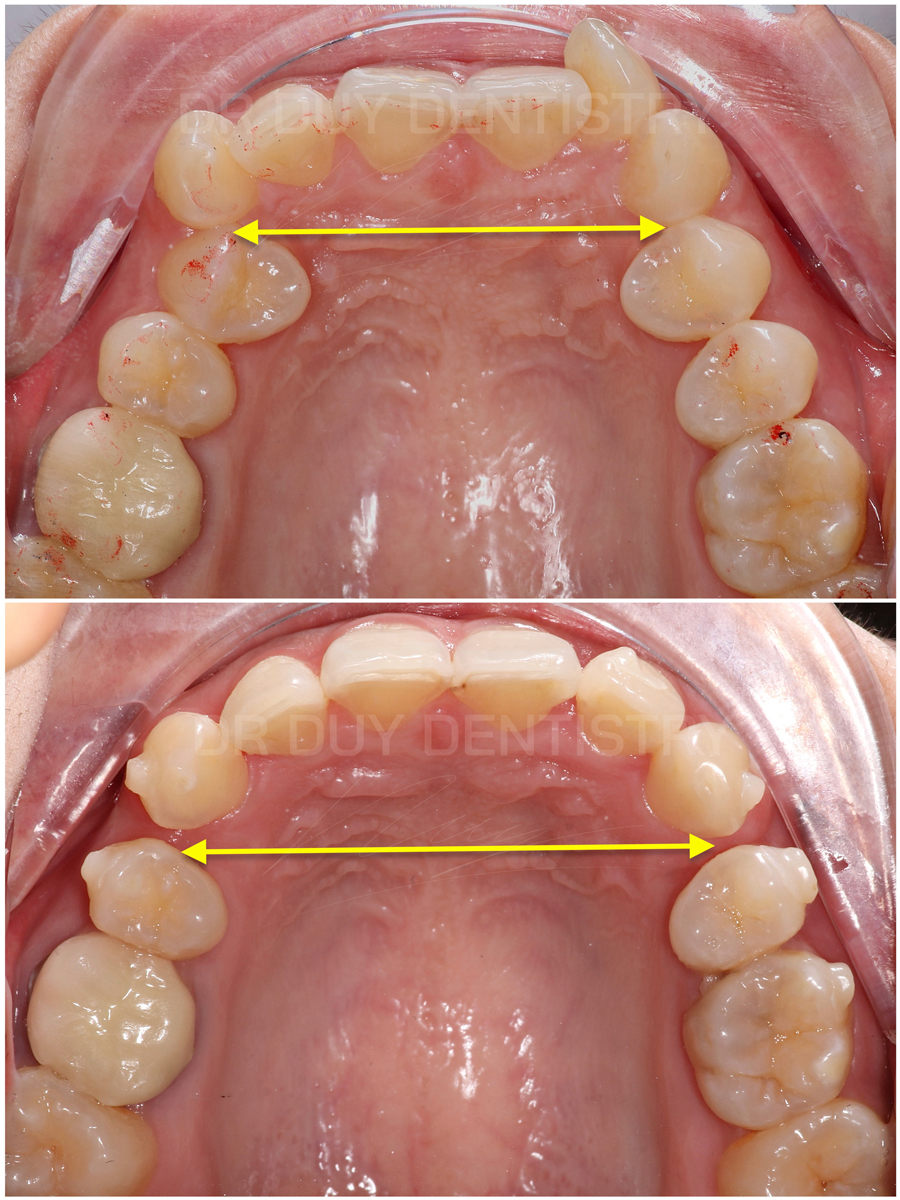
Nong hàm với khay niềng răng trong suốt:

Nong hàm có đau lắm không?
Như đã chia sẽ, việc nong hàm sẽ thực hiện từ từ và với lực nhẹ, nên cảm giác vẫn sẽ ê, đau nhẹ những ngày đầu sau khi tác động lực, sau đó sẽ giảm dần, hoàn toàn tương tự như khi thực hiện các di chuyển răng khác. Trong đa số trường hợp, trẻ sẽ không cần phải dùng thuốc hoặc các biện pháp hỗ trợ nào khác.
Độ tuổi nào thực hiện nong hàm sẽ hiệu quả nhất?
Trong đa số trường hợp thực hiện kỹ thuật nong hàm, bác sĩ mong muốn di chuyển cả răng và xương hàm để đạt được kết quả tối ưu cũng như hạn chế tỷ lệ tái phát sau khi niềng.
Do đó, độ tuổi thực hiện nong hàm tốt nhất là khi trẻ đang trong độ tuổi phát triển và tăng trưởng xương hàm (dưới 16 tuổi). Tuy nhiên, đối với người lớn, vẫn có thể thực hiện việc nong hàm nhưng hiệu quả lên xương sẽ giảm đi khi so với việc can thiệp điều trị sớm. Trong một số trường hợp hẹp hàm nặng ở người lớn, bác sĩ có thể chỉ định phẫu thuật chỉnh hàm để điều trị.
Điều trị nong hàm với khay trong suốt với ưu điểm là tính tiên đoán trước kết quả điều trị:
Tuy nhiên độ tuổi chỉ là một trong rất nhiều yếu tố bác sĩ sẽ đánh giá để đưa ra kế hoạch điều trị phù hợp cho mỗi cá nhân cụ thể.
Do đó, việc thăm khám, chụp phim là cần thiết để xem trẻ có cần phải nong hàm hay không, cũng như giúp đánh giá mức độ sai lệch khớp cắn và thời gian điều trị.
