• 076 312 6699
  • English
Dr.Duy Dentistry Engligh
  • Trang Chủ
  • Giới thiệu
    • Giới thiệu
    • Cơ sở vật chất
    • Quy trình vô trùng
    • Bác sĩ & đội ngũ nhân viên
  • Dịch vụ
    • Nha khoa tổng quát
      • Cạo Vôi Răng, Đánh Bóng
      • Trám Răng
      • Điều Trị Ê Buốt Răng
      • Chữa Tuỷ Răng
    • Nha khoa trẻ em
      • Dự Phòng Sâu Răng
      • Trám Răng Trẻ Em
      • Theo Dõi Mọc Răng
      • Tiền Chỉnh Nha Trẻ Em
      • Niềng Răng Trẻ Em
    • Tẩy trắng răng
      • Tẩy Trắng Răng Tại Nhà
      • Tẩy Trắng Răng Tại NK
    • Nha khoa thẩm mỹ - thiết kế nụ cười
      • Dán Sứ Veneer
      • Bọc Răng Sứ Thẩm Mỹ
      • Điều Trị Cười Hở Lợi
    • Chỉnh nha & niềng răng
      • Phục Hình Răng Sứ
      • Niềng Răng Mắc Cài
      • Niềng Răng Trong Suốt
  • Bảng giá dịch vụ
  • Hỏi đáp
    • Hỏi Đáp Y Khoa
    • Nha Khoa Trẻ Em
    • Tin tức
  • Hình ảnh điều trị
    • Niềng Răng
    • Phục hình thẩm mỹ Veneer Sứ

Răng lệch lạc thì nên niềng răng hay làm răng sứ?

12/07/2023

Dù với phương pháp nào, việc sắp xếp các răng trông có vẻ thẳng hàng cũng có thể thực hiện được.

  • Tuy nhiên, làm thẳng răng với phương pháp làm răng sứ chỉ che đi việc các răng này lệch lạc, chứ vị trí thật sự của chân răng (gốc răng) vẫn lệch lạc và không thể thay đổi khiến cho không thể đạt được thẩm mỹ, sức khỏe và chức năng tối ưu. 

  • Do đó việc niềng răng vẫn nên là ưu tiên hàng đầu nếu chúng ta muốn có được một bộ răng vừa thẩm mỹ hài hòa, vừa khỏe mạnh mà còn thực hiện tốt nhất chức năng ăn nhai của mình.

  • Ông bà ta quả thật không sai “ Cái răng, cái tóc là gốc con người", đừng vì cái “ngọn” thẩm mỹ mà bỏ qua cái “gốc” sức khỏe của mình các bạn nhé. Làm thẳng răng với phương pháp veneer sứ, thẳng phía ngoài nhưng phía trong vẫn còn chen chúc
    Làm thẳng răng với phương pháp veneer sứ, thẳng phía ngoài nhưng phía trong vẫn còn chen chúc

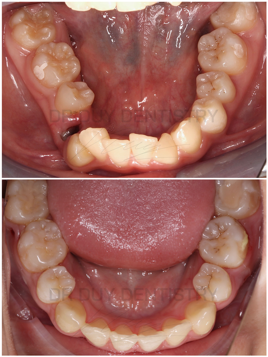
    Làm thẳng răng với phương pháp niềng răng đem lại kết quả tối ưu

    Làm thẳng răng với phương pháp niềng răng đem lại kết quả tối ưu

Facebooktwitterlinkedinpinterest

Danh mục

Hỏi Đáp Y Khoa Nha Khoa Trẻ Em Tin tức

Bài mới gần đây

5 cách đơn giản hack cơn đau răng hoàn toàn tự nhiên?

5 cách đơn giản "hack" cơn đau răng hoàn toàn tự nhiên?

6 bí quyết vệ sinh răng miệng cực cool cho các “Đồng niềng”

6 bí quyết vệ sinh răng miệng cực cool cho các “Đồng niềng”

3 mẹo nhỏ thuyết phục bé yêu đi khám răng

3 mẹo nhỏ thuyết phục bé yêu đi khám răng

Bài viết khác

5 cách đơn giản hack cơn đau răng hoàn toàn tự nhiên?

5 cách đơn giản "hack" cơn đau răng hoàn toàn tự nhiên?

Bạn bị đau răng nhưng chưa thể đến nha khoa vì một lý do nào đó như cơn đau xuất hiện lúc nửa đêm hoặc bạn đang trong kỳ nghỉ lễ dài chẳng hạn. 5 cách hoàn toàn tự...

Xem Thêm

6 bí quyết vệ sinh răng miệng cực cool cho các “Đồng niềng”

6 bí quyết vệ sinh răng miệng cực cool cho các “Đồng niềng”

Sử dụng bàn chải lông mềm: giúp vệ sinh dễ dàng hơn mảng bám ở vị trí giữa mắc cài và nướu răng mà không gây tổn thương nướu.

Xem Thêm

3 mẹo nhỏ thuyết phục bé yêu đi khám răng

3 mẹo nhỏ thuyết phục bé yêu đi khám răng

Giúp bé quen dần với cảm giác khám răng tại nha khoa cùng Dr.Duy Dentistry

Xem Thêm

4 Tuyệt chiêu cứu bạn khi bung mắc cài

4 Tuyệt chiêu cứu bạn khi bung mắc cài

Đừng hốt hoảng, khi rớt mắc cài mà bạn chưa thể đến nha khoa để gặp bác sĩ, thực hiện 4 bước sau đây sẽ giúp bạn cải thiện tình hình:

Xem Thêm

6 bí kíp xoa dịu cơn đau khi niềng răng

6 bí kíp xoa dịu cơn đau khi niềng răng

Nha khoa Dr.Duy Dentistry mách bạn 6 bí kịp xoa dịu cơn đau khi đang niềng răng

Xem Thêm

Răng Khểnh - Cười Duyên?

Răng Khểnh - Cười Duyên?

Bạn có một chiếc răng khểnh, bạn phân vân có nên nhổ đi hoặc niềng răng, bạn lo sợ “mất nét, mất duyên" hoặc vì lý do đơn giản “bạn ý thích cái răng khểnh của em”

Xem Thêm

Dr.Duy Dentistry

Dr.Duy Dentistry cung cấp đầy đủ các giải pháp chuyên sâu, quy trình đạt chuẩn quốc tế và đội ngũ chuyên gia, bác sĩ hàng đầu trong lĩnh vực nha khoa, luôn đồng hành cùng với khách hàng trong từng liệu trình điều trị.

Thời gian mở cửa của nha khoa 𝐃𝐑. 𝐃𝐔𝐘 𝐃𝐄𝐍𝐓𝐈𝐒𝐓𝐑𝐘:

👉 Thứ 2: đóng cửa

👉 Thứ 3 - thứ 7: 09:00AM - 06:00PM

👉 Chủ nhật: 09:00AM - 04:00PM

  • Dịch vụ
  • Cạo Vôi Răng, Đánh Bóng
  • Trám Răng
  • Điều Trị Ê Buốt Răng
  • Chữa Tuỷ Răng
  • Dự Phòng Sâu Răng
  • Trám Răng Trẻ Em
  • Theo Dõi Mọc Răng
  • Tiền Chỉnh Nha Trẻ Em
  • Phục Hình Răng Sứ
  • Niềng Răng Trẻ Em
  • Tẩy Trắng Răng Tại Nhà
  • Tẩy Trắng Răng Tại NK
  • Dán Sứ Veneer
  • Bọc Răng Sứ Thẩm Mỹ
  • Điều Trị Cười Hở Lợi
  • Niềng Răng Mắc Cài
  • Niềng Răng Trong Suốt
  • Giới thiệu
  • Giới thiệu
  • Cơ sở vật chất
  • Quy trình vô trùng
  • Bác sĩ & đội ngũ nhân viên
  • Hình ảnh điều trị
  • Hỏi đáp

Hotline 076 312 6699

Email drduydentistry@gmail.com

Địa chỉ Lầu L - Tòa nhà Thép Toàn Thắng,
8A - 10A Trường Sơn, Phường 2,
Q. Tân Bình, Tp. Hồ Chí Minh

© 2022 Dr.Duy Dentistry - All rights reserved Designed by: iCreate.vn
Dr.Duy Dentistry
  • Giới thiệu
  • Cơ sở vật chất
  • Quy trình vô trùng
  • Bác sĩ & đội ngũ nhân viên
  • Dịch vụ

    • Dịch vụ
    • Nha khoa tổng quát
    • Cạo Vôi Răng, Đánh Bóng
    • Trám Răng
    • Điều Trị Ê Buốt Răng
    • Chữa Tuỷ Răng
    • Nha khoa trẻ em
    • Dự Phòng Sâu Răng
    • Trám Răng Trẻ Em
    • Theo Dõi Mọc Răng
    • Tiền Chỉnh Nha Trẻ Em
    • Niềng Răng Trẻ Em
    • Tẩy trắng răng
    • Tẩy Trắng Răng Tại Nhà
    • Tẩy Trắng Răng Tại NK
    • Nha khoa thẩm mỹ - thiết kế nụ cười
    • Dán Sứ Veneer
    • Bọc Răng Sứ Thẩm Mỹ
    • Điều Trị Cười Hở Lợi
    • Chỉnh nha & niềng răng
    • Phục Hình Răng Sứ
    • Niềng Răng Mắc Cài
    • Niềng Răng Trong Suốt
  • Bảng giá dịch vụ
  • Hỏi đáp

    • Hỏi đáp
    • Xem tất cả
    • Hỏi Đáp Y Khoa
    • Nha Khoa Trẻ Em
    • Tin tức
  • Hình ảnh điều trị

    • Hình ảnh điều trị
    • Xem tất cả
    • Niềng Răng
    • Phục hình thẩm mỹ Veneer Sứ
  • English
  • zalo 0763126699 0763126699
  • 0763126699
ĐẶT LỊCH HẸN KHÁM
Đặt hẹn

ĐẶT LỊCH HẸN KHÁM

Mã kiểm tra

Phòng khám không làm việc vào thứ 2, khách hàng vui lòng không chọn đặt lịch vào thứ 2 hàng tuần