Rất nhiều khách hàng đến tư vấn niềng răng tại nha khoa Dr. Duy Dentistry thắc mắc liệu phương pháp niềng răng nào là phù hợp nhất với mình, liệu với trường hợp của mình thì có thể niềng răng trong suốt được hay không và khay trong suốt có phải chỉ giành cho những trường hợp dễ, nếu muốn răng đi thật nhanh thì phải niềng mắc cài.
Đây là những câu hỏi chúng tôi tiếp nhận thường xuyên khi khám và tư vấn cho quý khách hàng. Để giải đáp các thắc mắc trên, xin mời quý vị cùng nha khoa Dr. Duy tìm hiểu xem đâu là sự khác biệt giữa 2 phương pháp niềng răng phổ biến nhất này nhé.
ĐỊNH NGHĨA NIỀNG RĂNG MẮC CÀI VÀ KHAY TRONG SUỐT
1/ Mắc cài:
Mắc cài được làm từ chất liệu kim loại hoặc sứ và được dán chặt vào bề mặt răng, thường là mặt ngoài, hoặc mặt trong (mặt lưỡi).
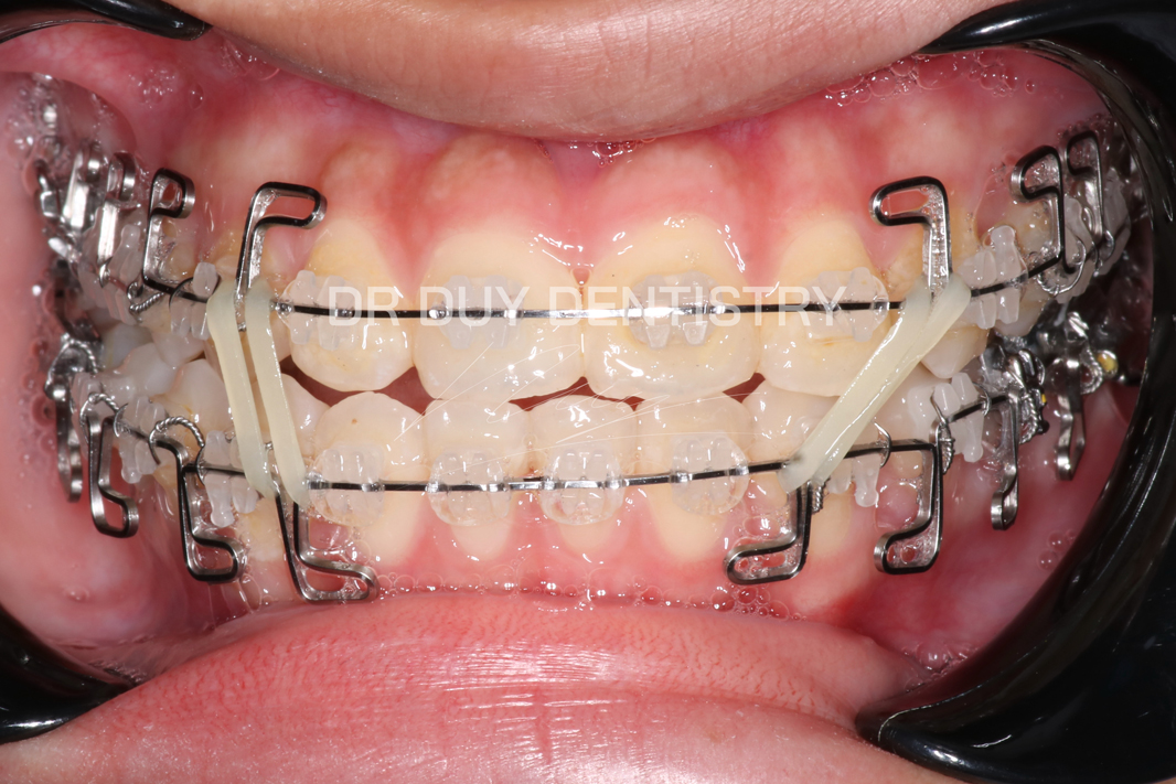
Sử dụng dây cung siêu đàn hồi buộc vào mắc cài kết hợp với các khí cụ hỗ trợ khác như lò xo, thun cao su để tạo ra lực kéo (pull force) lên mắc cài, qua đó gían tiếp tác động lực lên răng giúp răng di chuyển.

Mắc Cài Kim Loại.

Các khí cụ hỗ trợ khi niềng mắc cài.

Niềng răng mắc cài sứ.
2/ Khay trong suốt:
Khay trong suốt được chế tạo từ vật liệu nhựa đa lớp có độ cứng cũng như độ đàn hồi cao.

Vật liệu nhưa đa lớp với độ đàn hồi cao.
Khay được thiết kế cá nhân hóa theo từng hình dạng cung răng của khách hàng sau khi scan 3D răng .

Khay được thiết kế cá nhân hóa theo từng khách hàng.

Khách hàng được scan 3D răng trước khi niềng khay trong suốt.
Các khay sẽ lần lượt di chuyển răng từng bước một đến vị trí sau cùng đã được lên kế hoạch trước bởi bác sĩ thông qua phần mềm 3D di chuyển răng trực quan, gíup dự đoán trước được kết quả cũng như thời gian điều trị dựa trên số lượng khay khách hàng phải đeo.

Thấy trước kết quả điều trị qua phần mềm mô phỏng di chuyển răng dựa trên bằng chứng.
Khác với mắc cài, khay trong suốt tạo lực bằng cơ chế tạo ra lực đẩy (push force) lên bề mặt răng dựa vào tính đàn hồi của khay.

Khay trong suốt tác động lực đẩy lên răng.
Để giúp khay bám chặt vào răng trong quá trình tạo lực, bác sĩ sẽ gắn lên trên bề mặt răng các nút chặn bằng nhựa composite màu trắng cùng màu răng (attachment, engager,...).
Các nút chặn này còn có tác dụng tạo ra các bề mặt phẳng qua đó khay sẽ tác động lực lên.

Các nút chặn
SO SÁNH ƯU, NHƯỢC ĐIỂM
Ưu điểm của khay trong suốt lại chính là nhược điểm của mắc cài:

Nhược điểm của khay trong suốt lại chính là ưu điểm của mắc cài:

MẮC CÀI CÓ GIÚP ĐIỀU TRỊ NHANH HƠN KHAY TRONG SUỐT
Thời gian điều trị niềng răng phụ thuộc vào rất nhiều yếu tố bao gồm:
- Mức độ sai lệch răng và xương.
- Độ tuổi bắt đầu niềng răng.
- Sự hợp tác của khách hàng.
- Đáp ứng khác nhau của mỗi khách hàng với điều trị.
- Quan trọng hơn hết là việc khám, chấn đoán, lên phác đồ điều trị chính xác sẽ giúp rút ngắn thời gian điều trị.
- Mắc cài hay khay trong suốt chỉ là phương tiện giúp bác sĩ di chuyển răng, không phải là yếu tố quyết định thời gian điều trị.
Do đó, để xem đâu là phương pháp phù hợp nhất với mình, các bạn cần xem xét rất nhiều yếu tố, cân đong đo đếm để xem mong muốn của mình là gì và đặc biệt hơn hết là đến thăm khám với bác sĩ chỉnh nha chuyên sâu để có thêm những tư vấn khách quan hơn từ những nhà chuyên môn.
ThS. Bs. Nguyễn Phúc Anh Duy