Có lẽ bạn đã nghe đâu đó cụm từ sai khớp cắn, thoạt nghe có vẻ khá khó hiểu, phức tạp. Tuy nhiên định nghĩa sai khớp cắn thật ra lại không đáng sợ như các bạn hình dung, chúng ta hãy cùng tìm hiểu như thế nào là sai khớp cắn, hậu quả của sai khớp cắn cũng như các dấu hiệu nhận biết sai khớp cắn.
SAI KHỚP CẮN (MALOCCLUSION) LÀ GÌ?
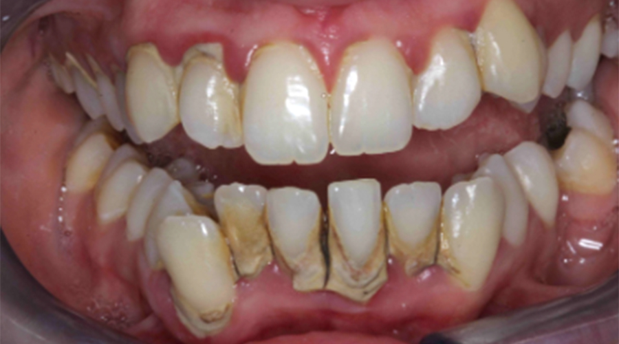
Đúng như tên gọi, sai khớp cắn được định nghĩa là tình trạng các răng hàm trên và hàm dưới ăn khớp (kết nối) với nhau không đúng khi chúng ta cắn chặt 2 hàm lại.
Các bác sĩ sẽ đánh giá, phân loại sai khớp cắn dựa trên tương quan vị trí răng giữa 2 hàm theo 3 chiều không gian cũng như mức độ sai lệch của các răng trong cùng 1 hàm.
TÁC HẠI CỦA SAI KHỚP CẮN?
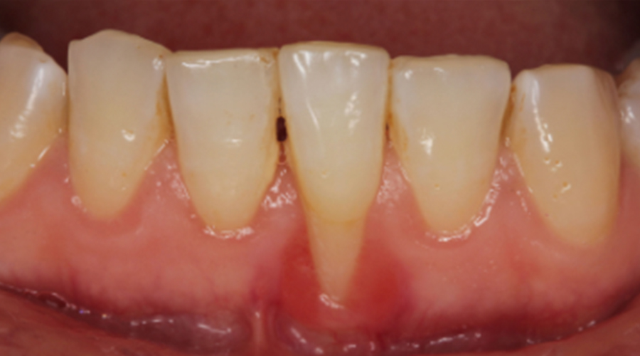
Ảnh hưởng dễ nhận thấy nhất là chúng ta sẽ gặp khó khăn khi vệ sinh răng miệng, giữa các răng lệch lạc sẽ rất dễ lắng đọng mảng bám, lâu ngày khoáng hóa thành vôi răng gây viêm nướu, chảy máu nướu và tiến triển nặng hơn thành viêm nha chu, tiêu xương.

Khi các răng 2 hàm tiếp khớp với nhau không đúng, lực nhai sẽ phân bố không đồng đều, những vị trí quá tải lực sẽ gây mòn răng, tuột nướu, lung lay răng.

Không chỉ gây ra các vấn đề tại răng và các cấu trúc quanh răng, sai khớp cắn còn dẫn đến rối loạn các thành phần khác của hệ thống nhai như khớp Thái Dương Hàm, các cơ nhai và các cơ vùng đầu mặt cổ dẫn đến các hậu quả như đau khớp, tiếng kêu ở khớp, đau cơ khi ăn nhai, ảnh hường đến ăn nhai, phát âm và đặc biệt là tình trạng đau mỏi cổ, vai gáy, thậm chí là nhức đầu, đau nhức tai (đa phần trong những trường hợp này chúng ta thường bỏ sót, không nghĩ đến nguyên nhân tại khớp răng)

Cuối cùng là vấn đề về thẩm mỹ, sai khớp cắn ảnh hưởng đến thẩm mỹ nụ cười, khớp cắn sai còn ảnh hưởng đến vị trí của xương hàm dưới, gây ra tình trạng lệch hàm (méo miệng), gây bất cân xứng khuôn mặt dẫn đến mất tự tin trong giao tiếp và công việc.

CÁC DẤU HIỆU GỢI Ý CÓ THỂ BẠN ĐANG BỊ SAI KHỚP CẮN?
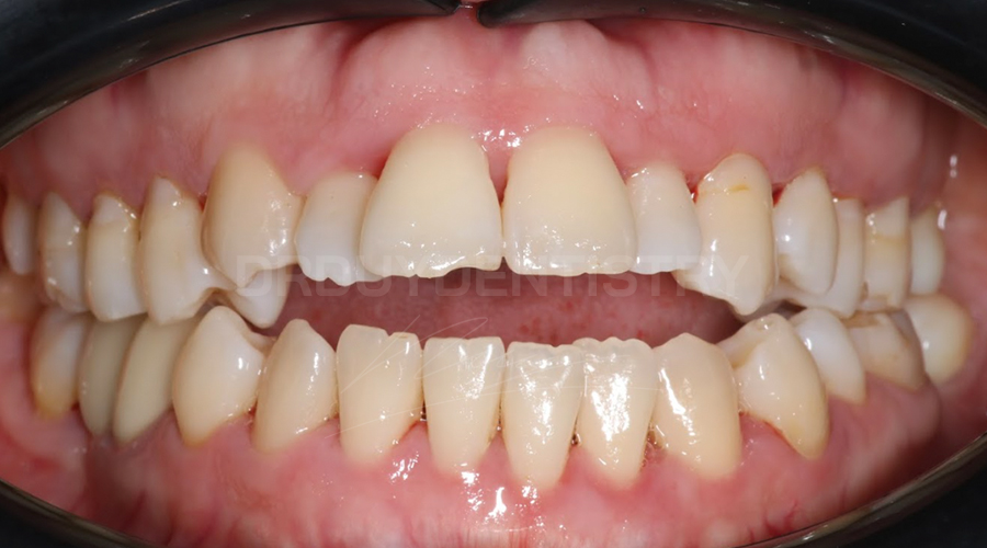
1/ Răng chen chúc (Crowding):
- Đây là thuật ngữ được sử dụng nhiều nhất trong chuyên ngành chỉnh nha, chen chúc răng là tình trạng các răng không mọc ngay hàng thẳng lối trên cung răng, là khi chúng ta quan sát 1 hoặc nhiều răng bị xoay, bị nghiêng hoặc lệch hẳn ra ngoài hoặc vào trong so với các răng còn lại.
- Nguyên nhân thường gặp nhất là do cung răng hẹp gây thiếu chỗ mọc răng, răng dư (thừa) chiếm chỗ và tình trạng chen chúc răng cửa khi các răng khôn hàm dưới mọc đẩy các răng phía trước. Đó là lý do tại sao bác sĩ thường hay chỉ định nhổ răng khôn trước khi niềng răng.

2/ Răng thưa kẽ (Spacing):
- Trái ngược với tình trạng thiếu chỗ dẫn đến chen chúc răng, thưa kẽ khi xuất hiện khoảng trống giữa các răng trên cùng 1 hàm.
- Nguyên nhân thường gặp là do thiếu răng, răng nhỏ, các răng nghiêng ra trước quá mức (do tật đẩy lưỡi), mút tay kéo dài v.v.

3/ Khớp cắn sâu (Deep Bite):
- Đây là tình trạng khi cắn 2 hàm lại, các răng cửa hàm trên che phủ quá mức các răng cửa hàm dưới, trong 1 số trường hợp nặng, chúng ta không thể quan sát thấy các răng cửa hàm dưới.
- Nguyên nhân thường gặp là do mọc quá mức các răng cửa hàm trên, dưới, thiếu sự mọc răng ở các răng phía sau hàm trên hoặc kết hợp tất cả các nguyên nhân trên.
- Khớp cắn sâu thường đi kèm với tình trạng cười hở nướu (hở lợi) và tình trạng lùi xương hàm dưới.

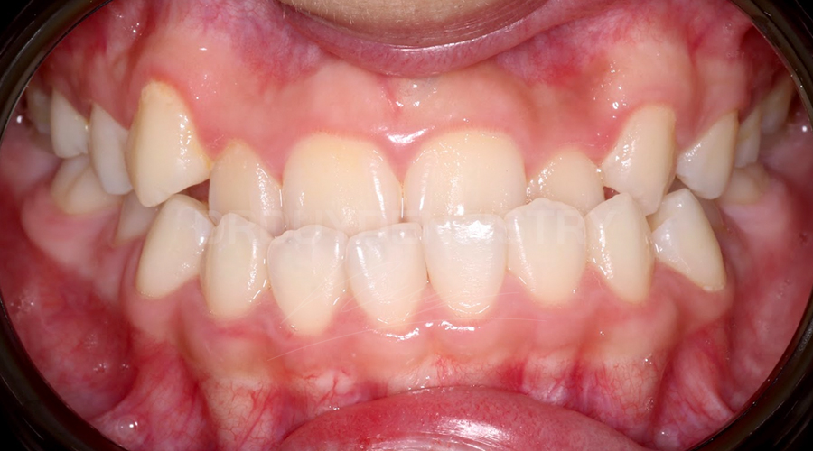
4/ Khớp cắn chìa (hô, vẩu) (Protrusion):
- Đây là tình trạng các răng cửa hàm trên nhô ra trước quá mức so với các răng cửa hàm dưới khi cắn chặt 2 hàm lại (thông thường khoảng cách này là 1.5 - 2 mm)
- Nguyên nhân thường gặp do xương hàm trên phát triển ra trước quá mức, xương hàm dưới lùi ra sau, các răng nghiêng ra trước do tật mút tay kéo dài hoặc kết hợp các yếu tố trên.

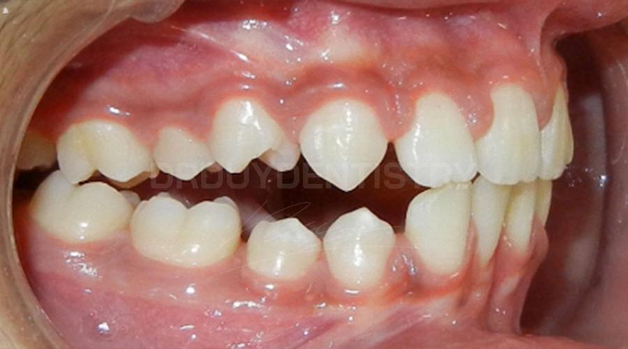
5/ Khớp cắn ngược (cắn chéo, móm) (Crossbite, Underbite):
- Khi cắn chặt 2 hàm lại, 1 hoặc nhiều răng cửa hàm dưới nằm phía trước (phía ngoài) so với các răng cửa hàm trên.
- Nguyên nhân thường gặp do thiếu chỗ làm cho các răng hàm trên mọc lệch vô phía trong hoặc do xương hàm dưới phát triển ra trước quá mức, xương hàm trên kém phát triển hoặc kết hợp các yếu tố trên

6/ Khớp cắn hở (Open Bite):
- Cắn hở răng cửa: Khi cắn chặt 2 hàm lại, các răng phía sau chạm nhau nhưng các răng phía trước thì hở ra theo chiều trên - dưới.

- Cắn hở răng sau: Ngược lại, các răng cửa chạm nhau nhưng 1 số răng sau lại không chạm.

- Nguyên nhân thường gặp cho tật đẩy lưỡi, thói quen mút tay kéo dài, tình trạng thở miệng hoặc sự mọc răng quá mức của các răng sau, 1 nguyên nhân nữa là do các răng khôn hàm dưới mọc đẩy các răng sau nghiêng ra trước dẫn đến khi cắn lại chỉ chạm các răng phía sau.