Bạn có một nụ cười thật hài hòa, cung cười, màu sắc răng đều đẹp, nhưng bạn vẫn cảm thấy dường như thiếu một chút gì đó.

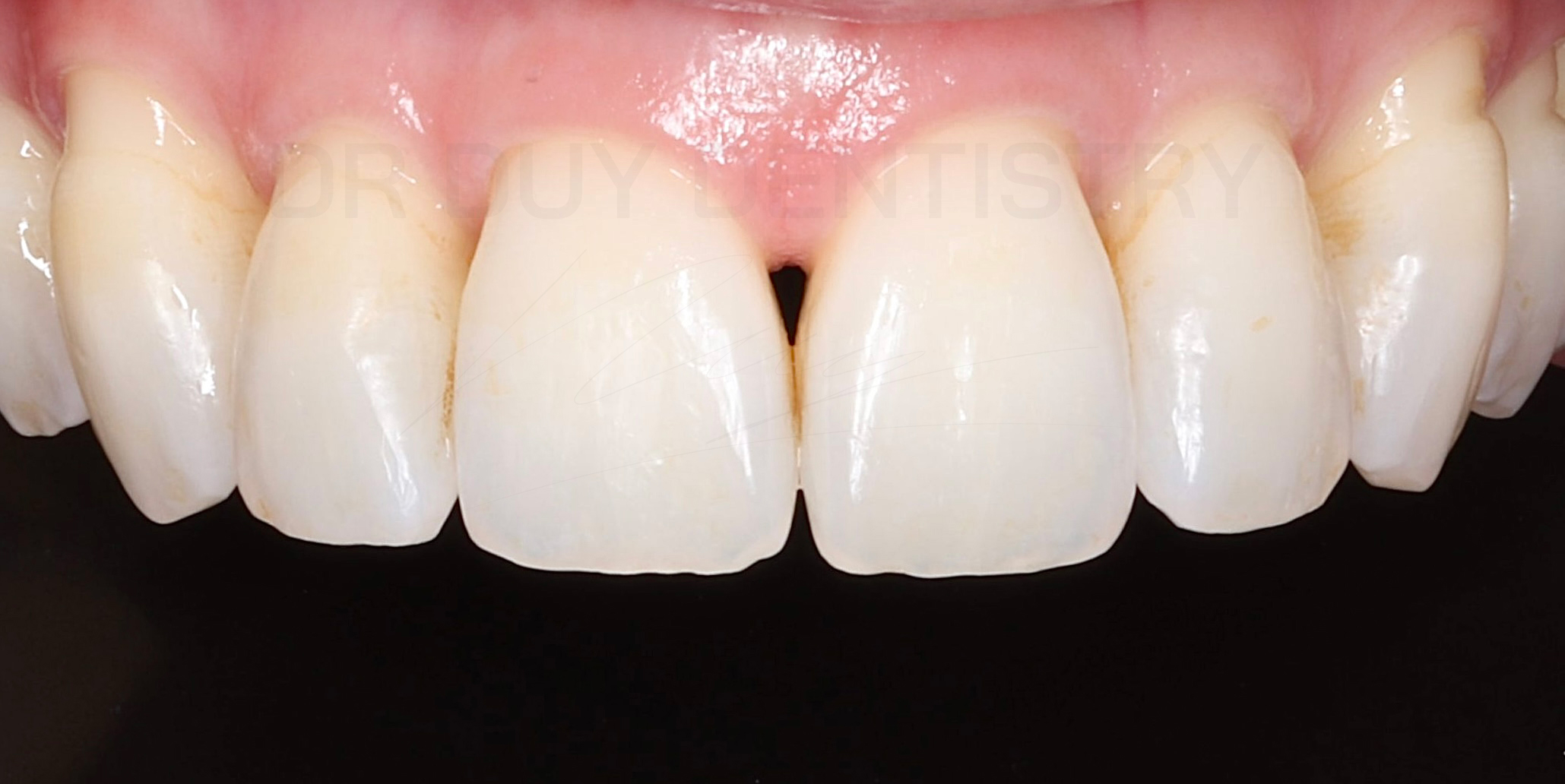
Bạn quan sát thấy khoảng trống màu đen sâu thẳm giữa 2 răng. Bạn tự hỏi lý do tại sao? Đây có phải sâu răng?
Hãy cùng nha khoa Dr. Duy Dentistry nhận diện vấn đề này nhé.
Tam giác đen là gì?
Tam giác đen là khoảng trống hình tam giác có màu đen sâu thẳm, nằm giữa 2 răng kế cận và đường viền nướu.
Thông thường chúng ta không quan sát thấy tam giác đen cho khoảng trống này được gai nướu che phủ hoàn toàn.

Nguyên nhân gây ra tam giác đen?
-
Tụt nướu:
-
Tụt nướu sinh lý khi lớn tuổi.
-
Do cơ địa sinh học nướu mỏng.
-
Tụt nướu do bệnh lý nha chu gây tiêu xương.
-
Quá tải lực nhai do sai khớp cắn gây tiêu xương, tụt nướu.
-
Tụt nướu do chải răng quá mạnh và không đúng cách.
-
Trục răng không đúng sau khi niềng răng.
-
Do hình dạng thân răng:
Ảnh hưởng của tam giác đen?
- Về mặt chức năng: tam giác đen dễ gây nhét thức ăn, bên cạnh đó, thói quen dùng tăm xỉa răng tại các vị trí này cũng làm tăng nguy cơ mắc các bệnh về răng và nướu như sâu răng, viêm nướu, viêm nha chu, tiêu xương.
- Về mặt thẩm mỹ: gây ảnh hưởng đến thẩm mỹ nụ cười, khiến chúng ta kém tự tin trong giao tiếp và sịnh hoạt nếu tam giác đen to và lộ rõ khi giao tiếp.
Có thể ngăn ngừa tam giác đen?
Đối với trường hợp tam giác đen do tụt nướu, chúng ta có thể ngăn ngừa bằng cách vệ sinh răng miệng đúng cách như dùng chỉ nha khoa, tăm nước, chải răng nhẹ nhàng đúng cách, không chải theo chiều ngang cũng như dùng lực quá mạnh có thể gây tụt nướu và để lộ tam giác đen.
Cách điều trị tam giác đen?
Nếu như chúng ta phát hiện thấy các tam giác đen gây khó chịu khi ăn nhai hoặc ảnh hưởng đến thẩm mỹ, các bạn hãy yên tâm vì hiện nay có rất nhiều phương pháp điều trị phụ thuộc vào mức độ, tình trạng răng, khớp cắn cũng như mong muốn của khách hàng:
- Phục hồi lại hình dạng thân răng, che kín tam giác đen bằng phương pháp trám răng hoặc veneer, onlay, inlay, mão răng sứ. Đây là phương pháp thông dụng nhất để điều trị tam giác đen

Trám răng điều trị tam giác đen
- Niềng răng kết hợp mãi kẽ răng giúp kéo các răng sát lại với nhau, giảm hoặc loại bỏ hoàn toàn tam giác đen. Phương pháp niềng răng được chỉ định khi khách hàng có kèm theo tình trạng sai khớp cắn.
- Phẫu thuật tạo hình nướu khi tình trạng tiêu xương, tụt nướu mức độ rất nặng.

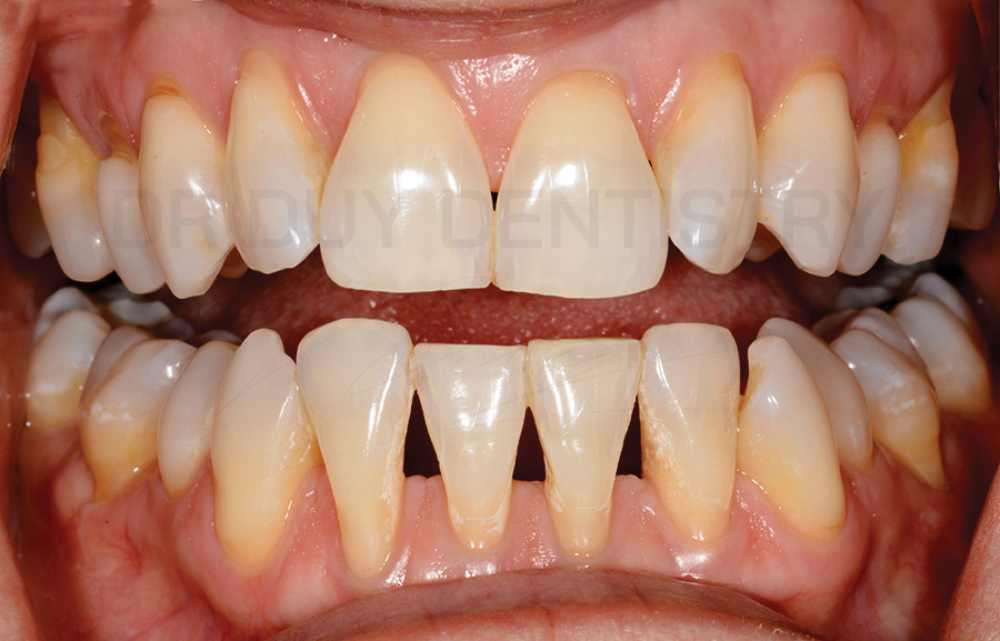
Tam giác đen nhiều và nặng
