Rất nhiều quý phụ huynh quan sát thấy giữa các răng của trẻ xuất hiện các khoảng trống hay còn gọi là khe hở răng (Diastema), đặc biệt là ở các răng cửa hàm trên và lo ngại không biết điều này có bình thường hay không và có cần đưa trẻ đến gặp bác sĩ nha khoa hay không? Hôm nay chúng ta hãy cùng nha khoa Dr. Duy Dentistry tìm hiểu lý do vì sao lại xuất hiện tình trạng này ở trẻ nhé.
Nguyên Nhân Xuất Hiện Khe Hở Răng?
-
Sự phát triển tự nhiên của trẻ: các khe hở này là cần thiết giúp cho các răng người lớn (răng vĩnh viễn) lớn hơn có đủ khoảng trống để mọc lên sau này.
-
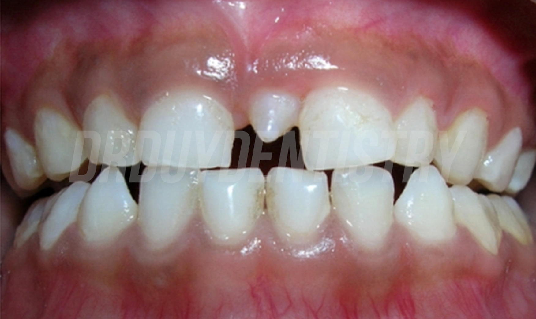
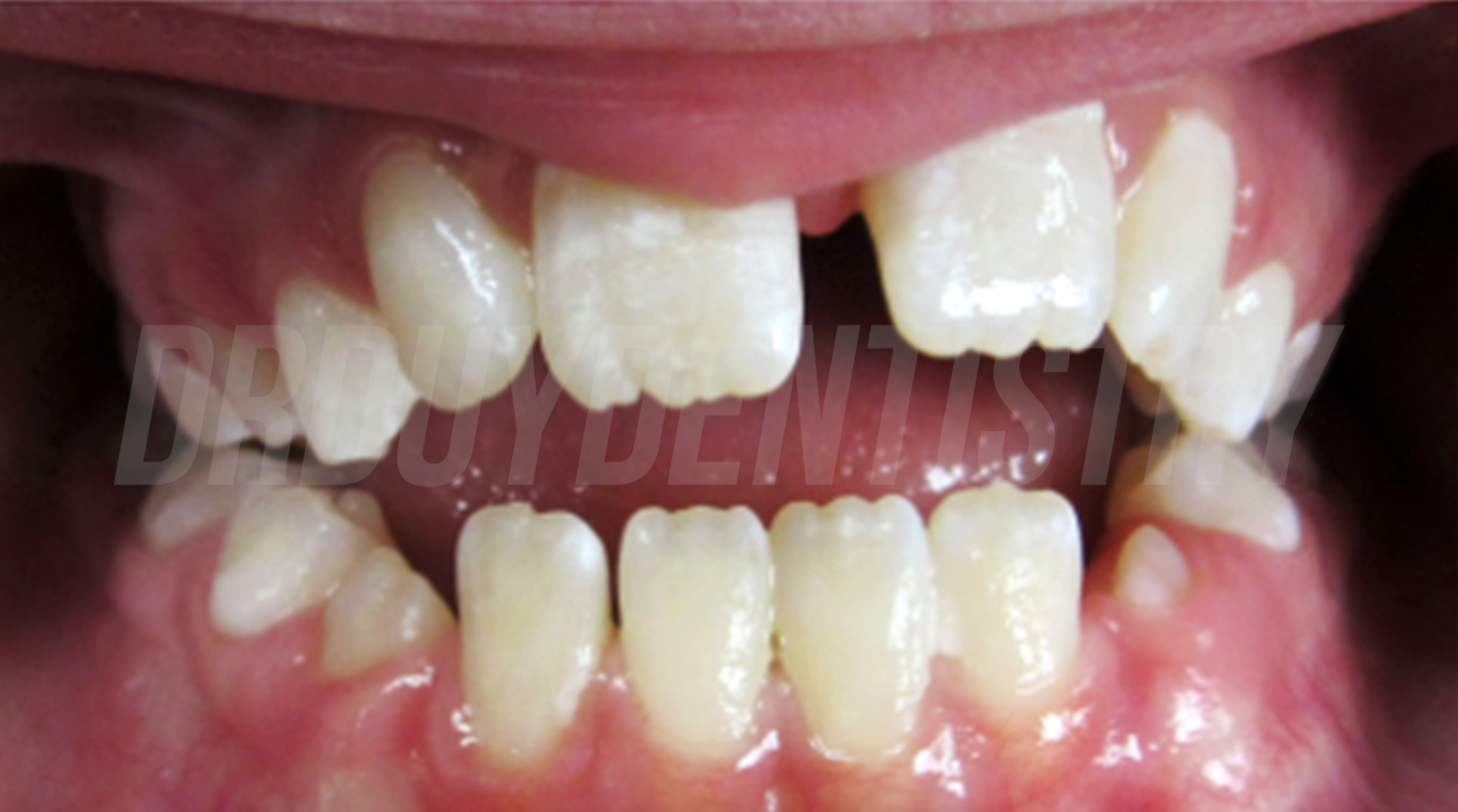
Thắng môi bám thấp (Lip tie): đây là nguyên nhân thường gặp nhất làm xuất hiện khe hở giữa 2 răng cửa hàm trên, do thắng môi bám quá thấp, chen vô giữa khiến 2 răng này bị tách ra xa nhau. Quý phụ huynh có thể dễ dàng quan sát được bằng cách vén môi trên của trẻ lên.

Thắng môi bám thấp

Trước và sau khi phẫu thuật cắt thắng môi bám thấp

Thắng lưỡi bám thấp

Thiếu răng bẩm sinh
-
Răng dư: đây là tình trạng trẻ có răng dư, và răng này nằm giữa, đẩy các răng còn lại ra xa nhau, gây ra tình trạng khe hở giữa các răng.

Răng dư kẽ giữa 2 răng cửa hàm trên

Răng nhỏ (Microdontia)
-
Thói quen đẩy lưỡi (Tongue Thrusting) hay còn gọi là nuốt ngược (Reverse Swallowing): khi trẻ nuốt, lưỡi sẽ đẩy các răng phía trước ra ngoài, làm các răng này nhô ra trước, tạo khe hở giữa các răng.

Thói quen đẩy lưỡi khi nuốt
Khe Hở Răng Có Gây Ra Khó Khăn Gì Cho Trẻ Không?
-
Thẩm mỹ: khe hở răng lớn và nhiều có thể làm cho trẻ cảm thấy thiếu tự tin trong giao tiếp, thường gặp hơn ở những trẻ lớn.
-
Khe hở răng do các răng dư sẽ gây cản trở cho các răng khác mọc đúng vị trí, dẫn đến lệch lạc răng và sai khớp cắn ở trẻ.
Các Khe Hở Này Có Tự Hết Hay Không?
Khe hở giữa các răng rất thường xuất hiện ở trẻ và có thể tự cải thiện theo thời gian khi trẻ tăng trưởng và phát triển. Tuy nhiên, trong một số trường hợp cần có sự can thiệp của bác sĩ nha khoa như thắng môi, thắng lưỡi bám thấp, răng dư v.v.
Điều Trị Khe Hở Răng Ở Trẻ Như Thế Nào?
Trong phần lớn trường hợp, khe hở răng ở trẻ sẽ không cần can thiệp điều trị. Bác sĩ chỉ theo dõi định kỳ mỗi 6 tháng tình trạng mọc răng và phát triển xương hàm của trẻ.
Các phương pháp điều trị thường được sử dụng:
-
Điều trị thắng môi hoặc thắng lưỡi bám thấp bằng phương pháp phẫu thuật cắt thắng.
-
Nhổ răng dư nếu có.
-
Các khí cụ giúp trẻ cải thiện thói quen đẩy lưỡi hoặc mút tay.
-
Niềng răng với khí cụ tháo lắp, mắc cài hoặc khay trong suốt nếu có sự bất hài hòa giữa kích thước răng và cung hàm.
-
Điều trị đóng kín khe hở răng với mặt dán sứ veneer.
-
Điều trị thiếu răng bẩm sinh bởi phục hình cầu răng sứ hoặc với phương pháp cấy ghép implant khi bác sĩ đánh giá xương của trẻ đã đủ trưởng thành (thường sau 18 tuổi hoặc trễ hơn).
