Quý phụ huynh chúng ta chắc có lẻ đã từng nghe đến thuật ngữ “ răng số 6”, thế thì đây là chiếc răng nào mà lại được ưu ái đề cập nhiều hơn so với các răng còn lại, tại sao không là răng số 1,2,3, v.v.?
Có phải vì đây là con số đẹp hay vì lý do nào khác? Chúng ta hãy cũng nha khoa Dr. Duy Dentistry tìm hiểu về chiếc răng bí ẩn này nhé.
RĂNG SỐ 6 LÀ GÌ?
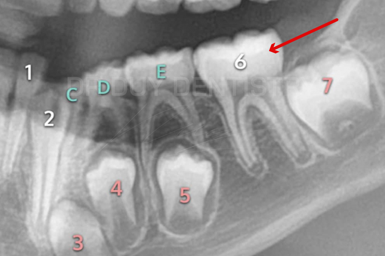
- Răng số 6 hay còn gọi là răng 6 tuổi, đây là chiếc răng cối lớn vĩnh viễn đầu tiên mọc lên khi trẻ 5-6 tuổi.
- Răng số 6 mọc lên ở vị trí phía sau răng cối sữa thứ 2 và không thay thế cho các răng sữa trước đó.
- Hay nói cách khác, chiếc răng này mọc thêm bên cạnh các răng sữa hiện tại của trẻ, do đó rất nhiều phụ huynh nghĩ rằng đây vẫn là răng sữa vì chưa thấy trẻ thay răng.
- Vì thiếu sự chú ý của phụ huynh và bé nên đây là răng vĩnh viễn thường bị nhổ đi sớm nhất vì sâu răng so với các răng khác.


Răng số 6 hàm dưới trong cùng

TẠI SAO RĂNG SỐ 6 LẠI QUAN TRỌNG?
- Là răng có diện tích nhai lớn nhất, đóng vai trò chính trong việc nhai, nghiền thức ăn.
- Thiết lập và duy trì kích thước dọc (chiều cao) của khuôn mặt.
- Đóng vai trò chìa khóa trong việc thiết lặp khớp cắn đúng cho trẻ.
- Định hướng đúng vị trí cho xương hàm dưới trong 3 chiều không gian.
TÁC HẠI NẾU MẤT RĂNG SỐ 6?
- Ảnh hưởng đến sức nhai của trẻ, khiến thức ăn không được nghiền tốt, tăng gánh nặng cho hệ tiêu hóa, khiến trẻ khó hấp thu tối đa dưỡng chất.
- Trẻ có thói quen nhai một bên (bên còn răng) dẫn đến mất cân bằng các cơ vùng đầu, cổ, gây rối loạn ở khớp Thái Dương Hàm.

- Sai lệch khớp cắn do các răng lân cận nghiêng, lệch cũng như răng số 6 hàm đối diện trồi vào khoảng trống do mất răng.


- Các răng di lệch gây bất hài hòa thẩm mỹ nụ cười.


ĐIỀU TRỊ NẾU MẤT RĂNG SỐ 6?
Mất răng số 6 không chỉ ảnh hưởng đến chức năng ăn nhai mà còn ảnh hưởng đến các răng lân cận, xương hàm, khớp và toàn bộ hệ thống nhai. Do đó, khi mất răng, trẻ cũng như người lớn nên được điều trị càng sớm càng tốt để ngăn ngừa các biến chứng về sau.
Sau đây là các phương pháp điều trị có thể được áp dụng khi mất răng số 6 tại nha khoa Dr. Duy Dentistry:
-
Niềng răng:
Mục đích của niềng răng giúp điều chỉnh lại các răng lân cận bị nghiêng, lệch, trồi về đúng vị trí và điều chỉnh khớp cắn đúng giữa 2 hàm trước khi thực hiện các phương pháp phục hồi lại răng mất.
Bên cạnh đó, ở các khách hàng trẻ, niềng răng cũng có thể giúp kéo các răng lân cận sát lại với nhau, đóng kín khe hở do mất răng số 6.
-
Cấy ghép implant:
Nếu khách hàng sau 18 tuổi, với điều kiện xương hàm đã trưởng thành, bác sĩ sẽ chỉ định phương pháp cấy ghép implant (chân răng nhân tạo) tại vị trí mất răng số 6.
Nếu các răng lân cận vị trí mất răng bị xô lệch, bác sĩ sẽ chỉ định niềng răng trước khi cấy ghép implant.

-
Khí cụ giữ khoảng:
Nếu trẻ mất răng số 6 sớm mà chưa đến độ tuổi phù hợp với phương pháp cấy ghép implant, bác sĩ có thể chỉ định các khí cụ giữ khoảng, giúp các răng lân cận không bị xô lệch cho đến khi có thể thực hiện được phương pháp cấy ghép implant.
-
Cầu răng:
Cầu răng là phương pháp thay thế nếu khách hàng không được chỉ định cấy ghép implant hoặc không muốn cấy ghép implant. Đây cũng có thể được sử dụng như phương pháp phục hồi tạm thời đến khi đủ điều kiện cấy ghép implant.

-
Hàm giả tháo lắp:
Đối với những khách hàng không thể thực hiện các phương pháp nêu trên, thì đây được xem như phương pháp sau cùng giúp phục hồi lại vị trí mất răng số 6.

