Bạn thắc mắc nếu trẻ còn quá nhỏ, vẫn chưa thay răng hoàn toàn thì liệu có thể niềng răng hay phải đợi đến khi răng người lớn mọc hoàn toàn trong miệng?
Việc niềng răng quá sớm có tốt không và làm sao trẻ có thể hợp tác điều trị? Hãy cùng nha khoa Dr. Duy Dentistry tìm hiểu về chủ đề niềng răng cho bé nhé.

Khám răng sớm giúp phát hiện các vấn đề sai khớp cắn
ĐIỀU TRỊ NIỀNG RĂNG SỚM LÀ GÌ?
Thời điểm điều trị đóng vai trò vô cùng quan trọng trong điều trị niềng răng. Niềng răng “sớm" hay còn được gọi là chỉnh nha can thiệp được hiểu là điều trị niềng răng khi bé vẫn còn răng sữa.
Khi đó bác sĩ chỉnh nha sẽ phát hiện sớm các thói quen xấu, các rối loạn về khớp cắn cũng như sự phát triển xương hàm và có thể can thiệp điều trị sớm khi các sai lệch còn nhẹ, giúp điều trị vừa đơn giản, không kéo dài thời gian và kết quả lại tối ưu, tiết kiệm không chỉ thời gian mà còn chi phí.
Tại nha khoa Dr. Duy Dentistry, trẻ sẽ được scan răng 3D giúp phát hiện sớm, không bỏ sót không chỉ các tình trạng sai khớp cắn mà còn giúp phát hiện sâu răng sớm tại những vị trí khó quan sát khi thăm khám bằng phương pháp truyền thống.

ÍCH LỢI CỦA VIỆC NIỀNG RĂNG SỚM?
Điều trị chỉnh nha sớm trong giai đoạn xương hàm của trẻ nói một cách dân gian là còn mềm, thì khi đó sự can thiệp sẽ đơn giản mà hiệu quả lại cao hơn khi điều trị ở giai đoạn xương đã trưởng thàng (giống như khi chúng ta uốn 1 cái cây khi nó còn nhỏ, sẽ dễ tạo hình mà ít bị gãy hơn khi cái cây đó đã trưởng thành).
Điều trị chỉnh nha sớm không chỉ đem lại một khớp cắn đúng, xương hàm phát triển hài hòa mà còn giúp đem lại sự cân bằng cho toàn bộ hệ thống nhai, hô hấp, tiêu hóa và đặc biệt giúp điều chỉnh đúng tư thế vùng đầu cổ.
Việc điều trị chỉnh nha sớm giúp các giai đoạn điều trị chỉnh nha toàn diện về sau (khi đã thay răng hoàn toàn) với mắc cài hoặc khay trong suốt trở nên đơn giản hơn.
CÁC PHƯƠNG PHÁP ĐIỀU TRỊ NIỀNG RĂNG SỚM?
Có rất nhiều phương pháp điều trị niềng răng sớm tùy vào độ tuổi điều trị, sự hợp tác của trẻ cũng như mức độ của sai lệch. Trong số đó, phương pháp điều trị tiền chỉnh nha với hàm trainer hay còn gọi là khí cụ cơ chức năng là một phương pháp đơn giản, chi phí thấp nhưng có độ hiệu quả cao nếu mang đúng cách và đủ thời gian quy định.

Bé có thể mang hàm Trainer từ 3 tuổi
HÀM TRAINER LÀ GÌ?
Hàm Trainer hay còn được gọi là khí cụ cơ chức năng, khí cụ tiền chỉnh nha. Đây là phương pháp điều trị niềng răng phòng ngừa chú trọng vào việc điều chỉnh các nguyên nhân gây ra sự sai lệch khớp cắn.
Hàm Trainer phù hợp cho trẻ từ 3 -15 tuổi bao gồm một chuỗi các khay bằng silicone mềm, được mang từ 1-2 tiếng mỗi ngày và mang ban đêm khi ngủ.

Hàm Trainer
CÔNG DỤNG CỦA HÀM TRAINER?
- Điều chỉnh các thói quen xấu.
- Định hướng phát triển đúng cho xương hàm.
- Làm thẳng răng.
- Cải thiện thói quen thở: giúp trẻ thở mũi, loại bỏ thói quen thở miệng.

- Giúp lưỡi đặt đúng vị trí, thói quen nuốt đúng cách.
- Từ đó cải thiện sức khỏe toàn thân.
CƠ CHẾ HOẠT ĐỘNG CỦA HÀM TRAINER?
Việc chờ đợi thay răng hoàn toàn mới bắt đầu điều trị sai khớp cắn có thể dẫn đến những tổn hại không thể hồi phục của không chỉ các răng, xương hàm mà còn đến sức khỏe toàn thân của trẻ.
Các thói quen xấu như tật mút tay, đẩy lưỡi, thở miệng có thể xuất hiện trước khi các răng người lớn xuất hiện trên miệng, do đó việc can thiệp điều trị càng sớm sẽ giúp hạn chế tình trạng lệch lạc khớp cắn khi các răng người lớn mọc.
Khí cụ Trainer được thiết kế giúp điều chỉnh lại thói quen thở đúng cách, đặt đúng vị trí của lưỡi ở phía trên ngay bên dưới vùng khẩu cái của xương hàm trên, giúp trẻ loại bỏ thỏi quen thở miệng và chuyển qua thở mũi.
Việc điều chỉnh đúng vị trí lưỡi sẽ giúp trẻ nuốt đúng cách, kích thích sự phát triển xương hàm theo 3 chiều không gian, giúp tạo đủ khoảng trống cho các răng người lớn mọc lên ngay ngắn một cách tự nhiên mà không cần can thiệp điều trị với mắc cài.
Bên cạnh giúp loại bỏ các thói quen xấu, hàm trainer còn tạo ra lực nhẹ giúp làm thẳng răng và xương.

Vị trí đúng của lưỡi (hình bên trái)
HÀM TRAINER NÀO SẼ PHÙ HỢP CHO TRẺ?
Việc lựa chọn hàm trainer nào phụ thuộc vào độ tuổi và tình trạng sai khớp cắn cụ thể của trẻ.
Bên cạnh việc mang hàm trainer, trẻ sẽ được hướng dẫn thêm các bài tập thở, nuốt đúng cách, giúp hỗ trợ tối đa cho việc can thiệp điều trị sớm.
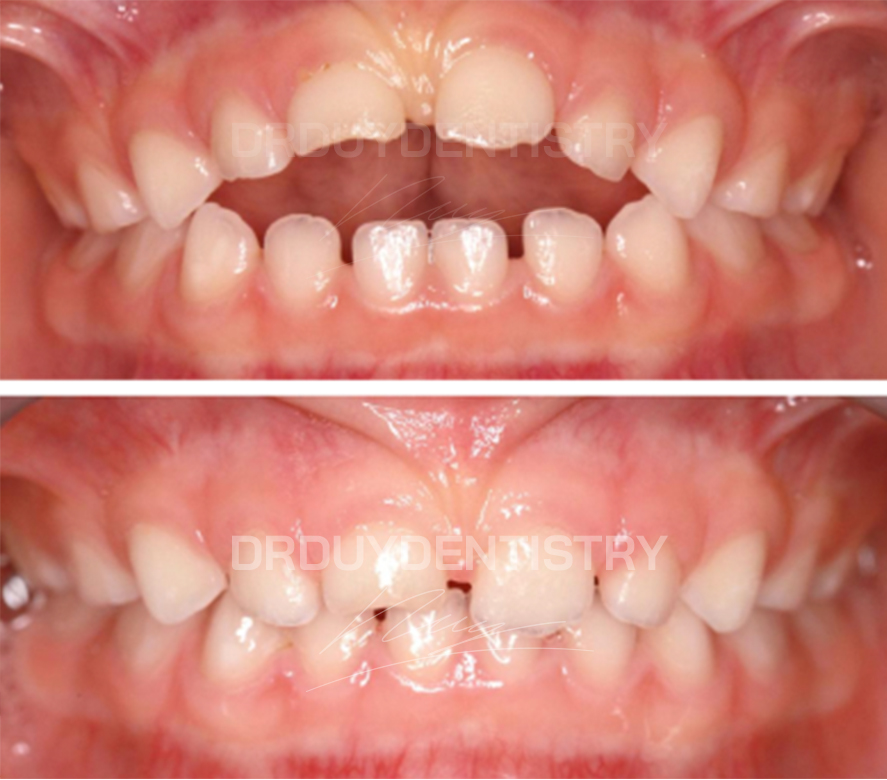
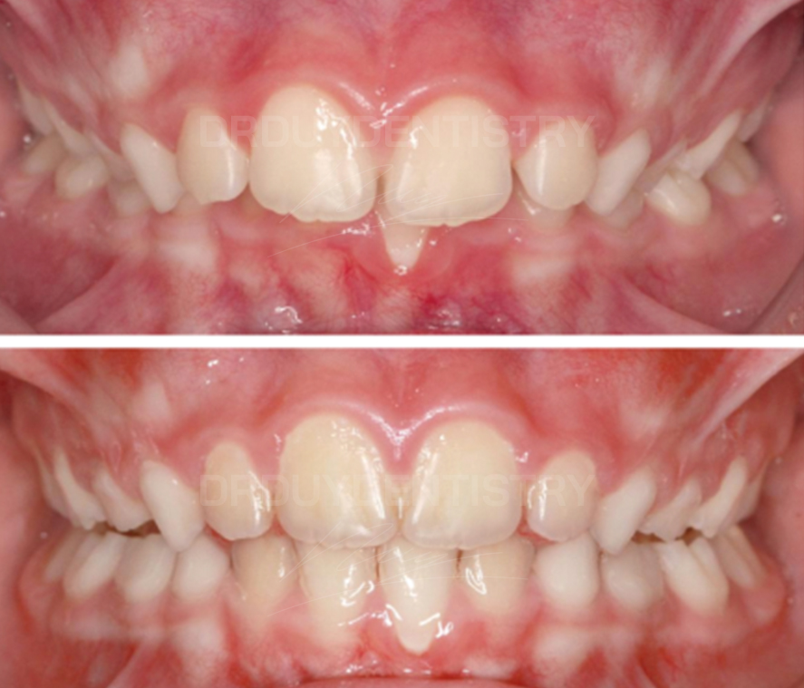
HÌNH ẢNH CÁC CA LÂM SÀNG ĐIỀU TRỊ VỚI HÀM TRAINER
Case 1: Trẻ từ 3-6 tuổi


Case 2: Trẻ từ 7-10 tuổi với khớp cắn sâu, hô


KẾT LUẬN:
Quan điểm đợi thay toàn bộ răng người lớn mới bắt đầu điều trị niềng răng có thể khiến cho tình trạng sai khớp cắn của trẻ trở nên càng trầm trọng và khó điều trị hơn. Do đó việc phát hiện và điều trị sớm đóng vai trò vô cùng quan trọng trong việc loại bỏ các thói quen xấu dẫn đến sai khớp cắn, đồng thời cải thiện sức khỏe toàn thân cho trẻ.
ThS. Bs. Nguyễn Phúc Anh Duy